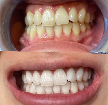
Blanchiment Dentaire à Tanger : Est-ce la Solution pour Un Sourire Éclatant ?
Le blanchiment dentaire est de plus en plus populaire à Tanger. Découvrez les options disponibles, les résultats à attendre, et si cette procédure est la meilleure option pour retrouver un sourire éclatant.


Contact
Médecin dentiste à Tanger,dentiste tanger, Maroc, spécialiste en esthétique du sourire, chirurgie dentaire, orthodontie clinique, soins dentaires avancés et implants dentaires, offrant des traitements spécialisés pour améliorer la santé et l'esthétique de vos dents.
Suivez-nous
info@centredentairetanger.com
Services Dentaires
