Blanchiment dentaire à Tanger
Vous souhaitez obtenir un blanchiment dentaire à Tanger pour des dents blanches rapidement ? Notre cabinet vous propose un traitement de blanchiment dentaire professionnel, efficace et adapté à vos besoins. Grâce aux techniques les plus avancées, nous assurons un résultat visible en deux séances. Profitez de notre expertise pour un blanchiment des dents en toute sécurité, réalisé par le meilleur dentiste de Tanger. Découvrez nos offres spéciales et réservez dès maintenant votre séance de blanchiment dentaire au meilleur prix. Retrouvez un sourire éclatant naturellement !
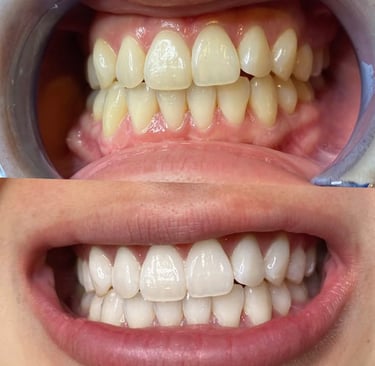
Pourquoi Opter pour un Blanchiment Professionnel à Tanger ?
Le blanchiment dentaire à Tanger permet de redonner éclat et blancheur à vos dents de manière rapide et efficace. En optant pour un traitement réalisé par un dentiste professionnel, vous bénéficiez des meilleures techniques et produits pour des résultats durables et visibles dès la première séance. Notre cabinet utilise des méthodes sûres pour vous offrir un sourire naturellement plus blanc.
Quel est le Prix du Blanchiment Dentaire à Tanger ?
Le prix d’un blanchiment dentaire à Tanger varie en fonction des techniques et produits utilisés. Nous proposons des offres adaptées pour chaque besoin, afin de garantir un excellent rapport qualité-prix. Contactez notre cabinet pour découvrir nos tarifs compétitifs et profiter d’une séance de blanchiment des dents à un prix accessible, tout en garantissant des résultats professionnels.
blanchiment dentaire au fauteuil à Tanger
Le blanchiment dentaire au fauteuil à Tanger est l’une des méthodes les plus efficaces pour éclaircir et améliorer l’apparence de votre sourire. Il s’agit d’une procédure rapide et sûre effectuée dans notre cabinet dentaire, qui peut rendre vos dents plusieurs teintes plus claires en une seule séance.
Voici comment se déroule le processus :
– Préparation : Avant le blanchiment, un nettoyage dentaire professionnel est souvent effectué pour éliminer toute accumulation de plaque ou de tartre. Ensuite, des protections sont mises en place pour protéger vos gencives du gel de blanchiment.
– Application du gel de blanchiment : Un gel de blanchiment à base de peroxyde est ensuite appliqué sur la surface de vos dents. Ce gel est généralement plus concentré que celui que vous obtiendrez dans un kit de blanchiment à domicile.
– Activation du gel de blanchiment : Une lumière spéciale, souvent un laser, est dirigée sur le gel pour activer le processus de blanchiment. Le gel est laissé sur vos dents pendant environ 20 minutes.
– Rinçage et répétition : Le gel est ensuite rincé et le processus peut être répété une ou deux fois supplémentaires au cours de la même séance, en fonction de la gravité des tâches et de la teinte souhaitée.
Le blanchiment dentaire au fauteuil offre plusieurs avantages :
Résultats immédiats : Vous verrez une différence notable dans la couleur de vos dents après une seule séance.
Contrôle professionnel : La procédure est effectuée par un professionnel dentaire, ce qui assure non seulement l'efficacité du traitement, mais aussi la sécurité de vos gencives et de vos dents.
Personnalisation : Le traitement peut être personnalisé en fonction de vos besoins spécifiques et des résultats souhaités.
N’oubliez pas que le blanchiment dentaire n’est pas permanent et que le maintien des résultats nécessite des soins appropriés, y compris une bonne hygiène bucco-dentaire et l’évitement des aliments et des boissons qui peuvent tacher les dents.
Pour les cas de décoloration sévère ou pour les dents qui ne répondent pas bien au blanchiment, d’autres options cosmétiques, comme les facettes dentaires ou les couronnes, peuvent être envisagées.
Blanchiment dentaire ambulatoir ou à domicile :
Le blanchiment dentaire à domicile, aussi appelé blanchiment ambulatoire, est une méthode pratique pour éclaircir vos dents à votre propre rythme. Cela implique l’utilisation d’un kit de blanchiment dentaire personnalisé que nous vous fournirons.
Voici comment fonctionne le blanchiment dentaire à domicile :
– Création de gouttières personnalisées : Nous prendrons d’abord des empreintes de vos dents pour créer des gouttières personnalisées. Ces gouttières sont fabriquées pour s’adapter parfaitement à vos dents, garantissant ainsi que le gel de blanchiment est réparti uniformément sur toute la surface de vos dents.
– Utilisation du kit de blanchiment à domicile : Une fois que vous avez reçu vos gouttières personnalisées, nous vous fournirons un gel de blanchiment dentaire professionnel et vous expliquerons comment l’appliquer à vos dents à l’aide des gouttières. Vous devrez porter les gouttières avec le gel pendant une période de temps spécifiée chaque jour, généralement pendant une à deux semaines.
– Suivi : Après la période de blanchiment à domicile, vous aurez un rendez-vous de suivi dans notre cabinet pour évaluer les résultats et voir si des traitements supplémentaires sont nécessaires.
Le blanchiment dentaire à domicile présente plusieurs avantages :
Confort : Vous pouvez effectuer le traitement à votre propre rythme et dans le confort de votre propre maison.
Résultats professionnels : Bien que le processus soit plus lent que le blanchiment en cabinet, vous pouvez toujours obtenir des résultats professionnels car le gel de blanchiment que nous fournissons est plus efficace que ceux disponibles en vente libre.
Personnalisation : Les gouttières personnalisées assurent une couverture uniforme du gel de blanchiment, et la durée du traitement peut être ajustée en fonction de vos besoins spécifiques.
Il est important de noter que le blanchiment dentaire à domicile n’est pas pour tout le monde. Il peut ne pas être efficace sur certaines tâches, comme celles causées par des médicaments ou des blessures à la dent, et il n’est pas recommandé pour les personnes ayant des gencives sensibles ou des dents.
Si vous êtes intéressé par le blanchiment dentaire à domicile, n’hésitez pas à nous contacter pour une consultation.
Contact
Médecin dentiste à Tanger,dentiste tanger, Maroc, spécialiste en esthétique du sourire, chirurgie dentaire, orthodontie clinique, soins dentaires avancés et implants dentaires, offrant des traitements spécialisés pour améliorer la santé et l'esthétique de vos dents.
Suivez-nous
info@centredentairetanger.com
Services Dentaires



