Hollywood Smile à Tanger : Souriez avec confiance
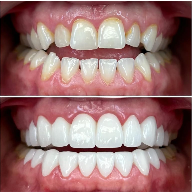
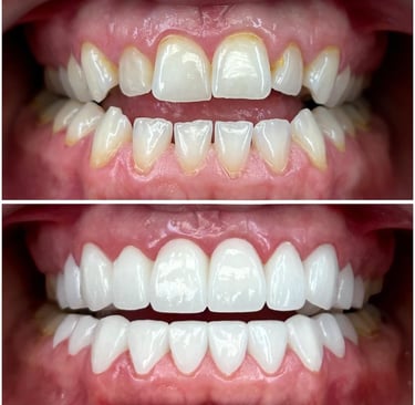
Transformez votre sourire en une œuvre d’art avec notre traitement exclusif Hollywood Smile au meilleur prix ! Chez Dr. Chaimaa Badrour , nous comprenons l’importance d’un sourire éclatant et confiant. Notre équipe de professionnels hautement qualifiés combine l’expertise dentaire de pointe avec la magie de Hollywood pour vous offrir un sourire digne des tapis rouges.
Imaginez-vous avec des dents impeccables, blanches et parfaitement alignées, reflétant la perfection que vous méritez. Notre approche personnalisée commence par une consultation approfondie pour comprendre vos objectifs esthétiques et élaborer un plan de traitement sur mesure.
Avec les dernières technologies et des matériaux de qualité, nous sommes en mesure de corriger les imperfections, d’éclaircir la teinte de vos dents et de créer une harmonie parfaite dans votre sourire. Que vous ayez des dents tachées, mal alignées ou simplement que vous cherchiez à retrouver la jeunesse de votre sourire, nous avons la solution.
Transformez votre sourire avec la Hollywood Smile à Tanger
Le traitement Hollywood Smile n’est pas seulement une transformation physique, c’est une expérience de confiance retrouvée et d’estime de soi améliorée. Imaginez-vous en train de sourire avec assurance lors de chaque rencontre, chaque photo, chaque moment de votre vie.
Chez le cabinet dentaire Tanger du Dr. Chaimaa Badrour , nous nous engageons à offrir non seulement des résultats exceptionnels, mais aussi une expérience agréable. Notre équipe chaleureuse et attentionnée vous guidera à chaque étape du processus pour que vous vous sentiez à l’aise et bien pris en charge.
N’attendez plus pour obtenir le sourire que vous méritez ! Contactez-nous dès aujourd’hui pour planifier votre consultation Hollywood Smile à Tanger et découvrez comment nous pouvons transformer votre sourire en une véritable œuvre d’art.
Contact
Médecin dentiste à Tanger,dentiste tanger, Maroc, spécialiste en esthétique du sourire, chirurgie dentaire, orthodontie clinique, soins dentaires avancés et implants dentaires, offrant des traitements spécialisés pour améliorer la santé et l'esthétique de vos dents.
Suivez-nous
info@centredentairetanger.com
Services Dentaires




