Chirurgie Parodontale à Tanger : Des soins experts pour une santé bucco-dentaire optimale
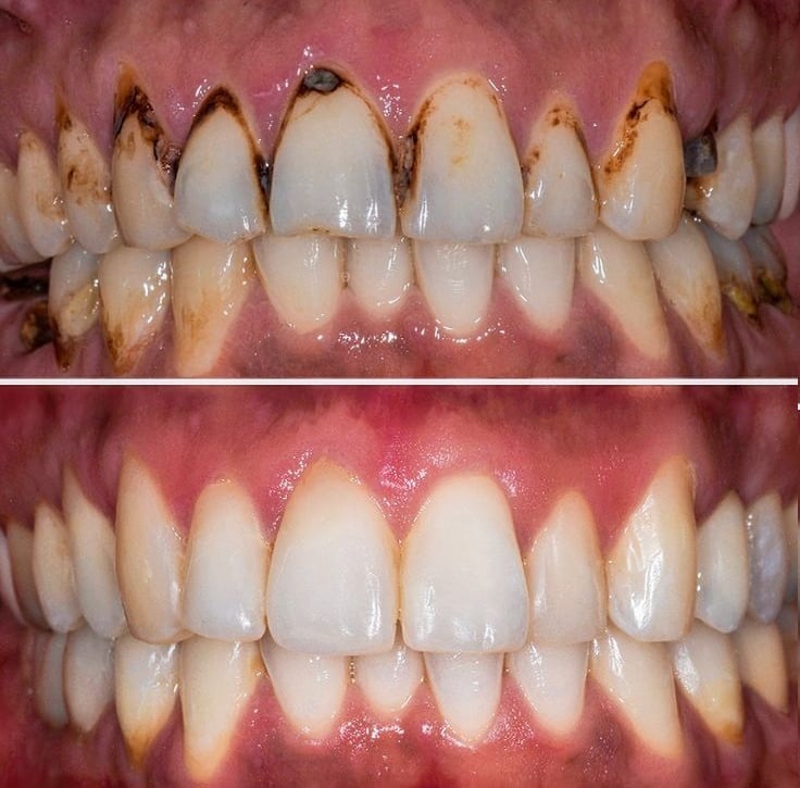
La chirurgie parodontale est une spécialité de la dentisterie qui traite des maladies affectant les tissus qui entourent et soutiennent les dents, connus sous le nom de parodonte. Cela comprend les gencives, le cément qui recouvre la racine de la dent, l'os alvéolaire dans lequel la dent s'insère, et le ligament parodontal qui relie la dent à l'os. Les maladies parodontales, comme la gingivite et la parodontite, peuvent endommager ces tissus et, si elles sont laissées sans traitement, peuvent entraîner la perte des dents. La chirurgie parodontale peut être utilisée pour traiter ces maladies lorsque les traitements non chirurgicaux ne sont pas suffisants.
Il existe plusieurs types de chirurgie parodontale, y compris :
Gingivectomie : Cette procédure consiste à enlever et remodeler le tissu gingival malade pour éliminer les poches parodontales.
Greffes de tissus mous : Les greffes de gencives peuvent être utilisées pour couvrir les racines ou développer les gencives et les tissus mous de la bouche.
Greffes osseuses : Les greffes osseuses sont utilisées pour régénérer ou augmenter l'os autour des dents qui a été perdu à cause de la parodontite.
La chirurgie parodontale peut aider à stopper la progression de la maladie parodontale, à prévenir la perte des dents, et à améliorer l'apparence et la santé de votre bouche.
Si vous présentez des symptômes de maladie parodontale, tels que des gencives rouges, gonflées ou qui saignent, ou des dents qui semblent plus longues à cause de la récession des gencives, n'hésitez pas à nous contacter pour une consultation.
Contact
Médecin dentiste à Tanger,dentiste tanger, Maroc, spécialiste en esthétique du sourire, chirurgie dentaire, orthodontie clinique, soins dentaires avancés et implants dentaires, offrant des traitements spécialisés pour améliorer la santé et l'esthétique de vos dents.
Suivez-nous
info@centredentairetanger.com
Services Dentaires


