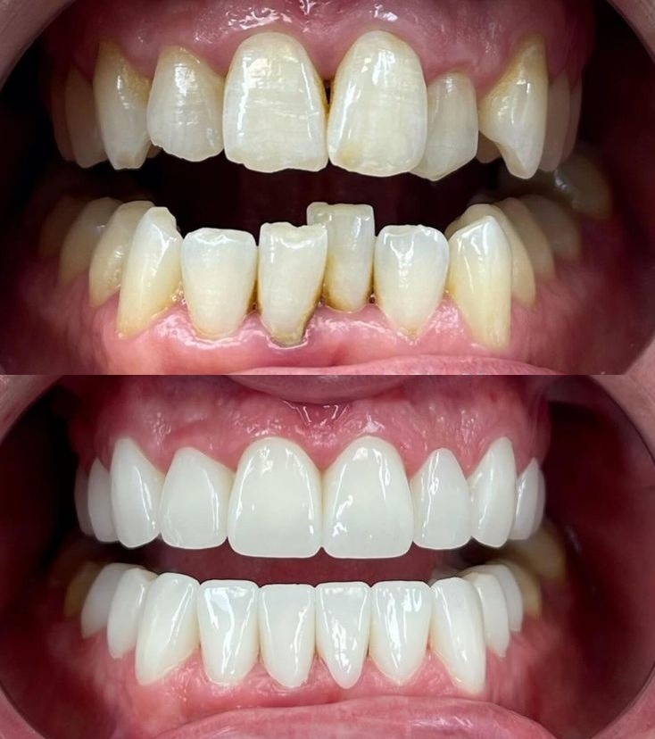
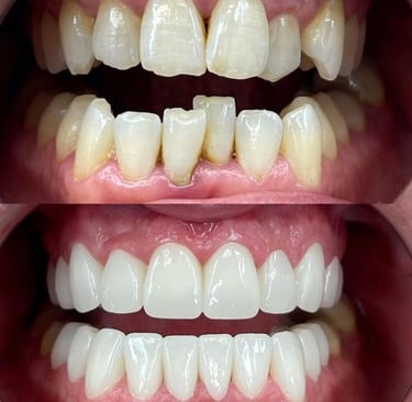
Comment Entretenir vos Prothèses Dentaires à Tanger pour une Longévité Maximale
Les prothèses dentaires nécessitent des soins particuliers pour durer dans le temps. Découvrez les meilleures pratiques pour entretenir vos prothèses dentaires à Tanger et éviter des problèmes futurs.


Contact
Médecin dentiste à Tanger,dentiste tanger, Maroc, spécialiste en esthétique du sourire, chirurgie dentaire, orthodontie clinique, soins dentaires avancés et implants dentaires, offrant des traitements spécialisés pour améliorer la santé et l'esthétique de vos dents.
Suivez-nous
info@centredentairetanger.com
Services Dentaires
