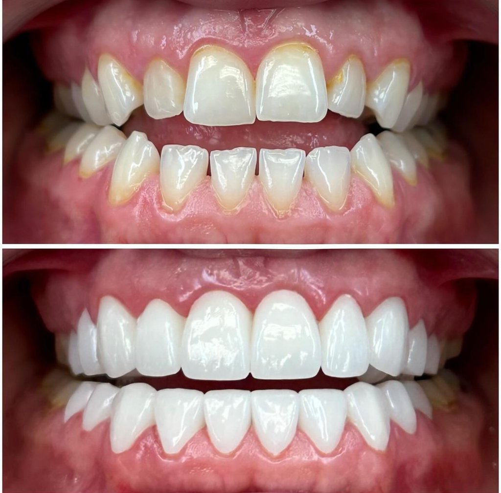
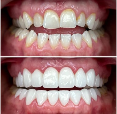
Facettes Dentaires à Tanger : Un Sourire Parfait en Quelques Séances
Les facettes dentaires à Tanger peuvent transformer votre sourire en un rien de temps. Apprenez tout sur cette procédure esthétique, les coûts et les soins nécessaires après avoir posé vos facettes.


Contact
Médecin dentiste à Tanger,dentiste tanger, Maroc, spécialiste en esthétique du sourire, chirurgie dentaire, orthodontie clinique, soins dentaires avancés et implants dentaires, offrant des traitements spécialisés pour améliorer la santé et l'esthétique de vos dents.
Suivez-nous
info@centredentairetanger.com
Services Dentaires
