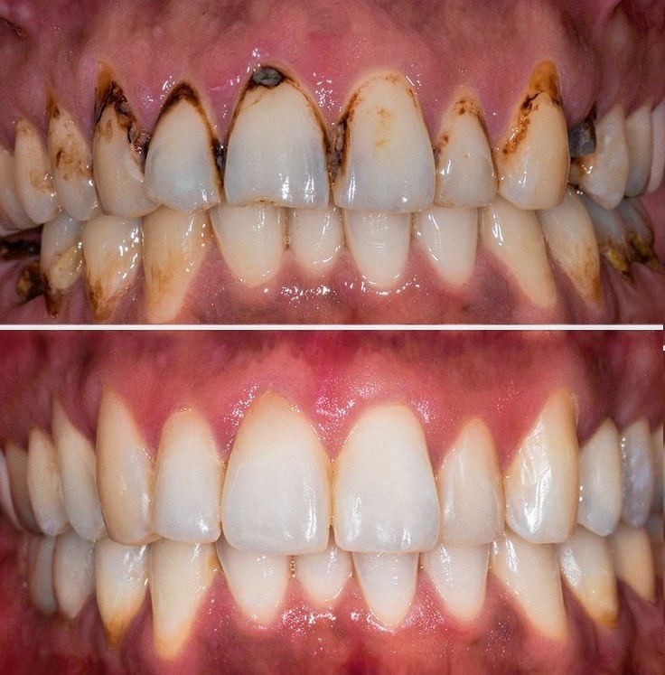
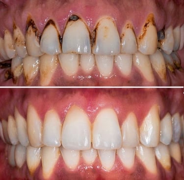
Les Soins Dentaires Essentiels à Tanger : Votre Guide Complet
Quels sont les soins dentaires les plus courants à Tanger ? Découvrez tout ce que vous devez savoir sur les traitements dentaires disponibles dans cette ville et comment maintenir une bouche en bonne santé grâce à des soins réguliers


Contact
Médecin dentiste à Tanger,dentiste tanger, Maroc, spécialiste en esthétique du sourire, chirurgie dentaire, orthodontie clinique, soins dentaires avancés et implants dentaires, offrant des traitements spécialisés pour améliorer la santé et l'esthétique de vos dents.
Suivez-nous
info@centredentairetanger.com
Services Dentaires
