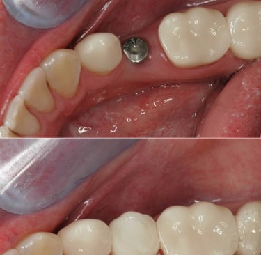
L'Implant Dentaire à Tanger : Tout Savoir Avant de Prendre une Décision
L’implant dentaire peut transformer le sourire d’un patient. Découvrez comment se déroule la procédure à Tanger, les avantages, ainsi que les critères à considérer pour savoir si un implant est la bonne solution pour vous.


Contact
Médecin dentiste à Tanger,dentiste tanger, Maroc, spécialiste en esthétique du sourire, chirurgie dentaire, orthodontie clinique, soins dentaires avancés et implants dentaires, offrant des traitements spécialisés pour améliorer la santé et l'esthétique de vos dents.
Suivez-nous
info@centredentairetanger.com
Services Dentaires
